
Egy friss kutatás szerint a mindennap beszedett multivitaminok nemcsak az általános egészségünket támogathatják, hanem az öregedési folyamatot is lassíthatják. Egy amerikai vizsgálat azt találta, hogy bizonyos biológiai mutatók alapján a rendszeres…
március 10., 2026 ● Hamu és Gyémánt
Lassíthatja a biológiai óránk ketyegését, ha rendszeresen…
Hamu és Gyémánt

Az „örök vegyi anyag” kifejezés a PFAS-okra utal, vagyis a per- és polifluoralkil anyagokra: olyan mesterséges vegyületekre, amelyeket extrém tartósra terveztek, ezért a környezetben nagyon lassan bomlanak le. Sok termékben előfordulnak az esőkabátoktól a tapadásmentes…
február 28., 2026 ● Hamu és Gyémánt
Két „örök vegyi anyag” felgyorsíthatja a biológiai…
Hamu és Gyémánt

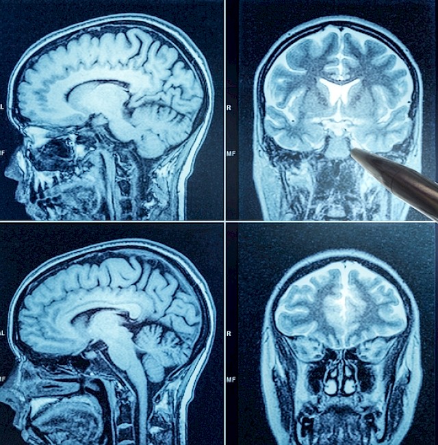
Az agy fejlődése és öregedése korántsem egyenletes folyamat: új kutatások szerint négy markáns fordulópont határozza meg, hogyan alakulnak át azok a pályák, amelyek az agy területei között továbbítják az információt. Ezek a váltások 9, 32, 66…
november 27., 2025 ● Hamu és Gyémánt
0 és 90 éves korunk között 5 szakaszban öregszik az agyunk
Hamu és Gyémánt

Egy nemzetközi kutatócsoport friss tanulmánya rámutat, hogy akik több nyelvet beszélnek, kisebb eséllyel tapasztalják meg az időskori gyors testi és szellemi hanyatlást. A kutatás 27 európai ország 86 ezer résztvevőjének adatait vizsgálta, és azt találta, hogy az…

Az elmúlt évtizedekben a folyamatosan kitolódó élettartam lett a modern társadalmak egyik legnagyobb sikertörténete – most azonban a tudomány egy aggasztó fordulatot figyelt meg. Szakértők szerint a testünk biológiai szinten gyorsabban öregszik, mint valaha, és olyan…
november 06., 2025 ● Hamu és Gyémánt
Soha nem öregedett még ilyen tempóban a testünk
Hamu és Gyémánt

A világ leghosszabb életű emlőse, a grönlandi bálna akár kétszáz évig is élhet – így nem csoda, hogy a tudósok szerint ez a faj segíthet jobban megérteni az emberi öregedés egyik kulcsát. A kutatók a bálna sejtjeinek különleges tulajdonságait vizsgálva olyan…
november 04., 2025 ● Hamu és Gyémánt
A 200 évig élő grönlandi bálnák segíthetnek lelassítani az…
Hamu és Gyémánt

A világűr extrém körülményei olyan változásokat indítanak el az emberi szervezetben, amelyek hasonlóak a természetes öregedéshez – derül ki a Cell Stem Cell folyóiratban megjelent friss tanulmányból. A kutatás szerint az űrutazás csökkenti a sejtek regenerációs képességét, fokozza a DNS-károsodást…
szeptember 15., 2025 ● Hamu és Gyémánt
Az űrrepülés drasztikusan felgyorsítja az emberi őssejtek…
Hamu és Gyémánt

Az örök fiatalság titkát évezredek óta keressük – hol a táplálkozásban, hol a mozgásban, hol különböző csodaszerekben. A modern tudomány sem hagyta abba a kutatást, és újra meg újra felmerül a kérdés: vajon létezhet olyan vitamin vagy ásványi anyag, ami ténylegesen lassíthatja az öregedést? Egy…
szeptember 04., 2025 ● Turi Dániel
A D-vitamin valóban lassítja az öregedést? Igen, de nem…
Turi Dániel

Egy új kutatás szerint a zöld teában található természetes vegyület és egy jól ismert vitamin kombinációja segíthet az Alzheimer-kór megelőzésében. A tudósok úgy vélik, a két anyag együttműködése hatékonyan tisztíthatja az agyat a káros fehérjelerakódásoktól, amelyek kulcsszerepet játszanak a…

A globális felmelegedés bizony az egészségünkre is jól tetten érhető hatással van: kutatók szerint a gyakori hőhullámok hosszú távon akár olyan mértékben károsíthatják az egészséget, mint a dohányzás vagy a mozgáshiány.
augusztus 28., 2025 ● Hamu és Gyémánt
Gyorsabban öregszünk a folyamatos hőhullámok miatt
Hamu és Gyémánt

A modern ember átlagos élettartama emelkedik, mégis meglehetősen alacsony a százéves kort elérők száma – és az orvosok számára máig rejtély, pontosan mi teszi őket különlegessé. Most azonban egy friss kutatás egy fontos tényezőre világított rá: a centenáriusok, úgy tűnik, rendelkeznek egyfajta…
augusztus 15., 2025 ● Hamu és Gyémánt
Kevesebb és később jelentkező betegség – ez a 100 évesek…
Hamu és Gyémánt

Ahogy telnek az évek, nemcsak fizikailag, de szellemileg is hatalmas átalakuláson megy át a szervezetünk, mégis akadnak olyanok, akik 90 felett is frissek, élénkek és érdeklődőek maradnak. A titkuk nem varázslat, hanem egy fogalom, amit a szakemberek kognitív tartaléknak neveznek. Ez az agy…
augusztus 14., 2025 ● Hamu és Gyémánt
Ezekkel a módszerekkel maradhatunk szellemileg frissek 90…
Hamu és Gyémánt